Specialist Care
Our clinic provides comprehensive treatment grounded in our director's expertise in prosthodontics. From implants and crowns to cosmetic dentistry and full-mouth restoration, we offer expert care explained in English.
Veneers, whitening, and smile design — always with a careful, conservative approach. We aim for a natural result that suits your face, not a one-size-fits-all look.
As a U.S.-trained prosthodontic specialist, our director's core expertise lies in restoring damaged or missing teeth with precisely fitted crowns and bridges — ceramic, zirconia, or metal-bond — designed for both strength and natural appearance.
From surgical placement to the final prosthetic tooth, we manage the entire implant process in-house. Our prosthodontic background means the final restoration is planned from day one.
A complete smile makeover for patients who have lost most or all of their teeth — or whose remaining teeth are beyond repair. All-on-4 provides a fixed, full set of teeth supported by just four implants per arch — restoring both the ability to eat and the confidence to smile. Our director's prosthodontic training means the final result is planned for both function and a natural appearance.
Regular professional cleaning and thorough exams are the foundation of lifelong oral health. We focus on catching small problems early and keeping your mouth healthy long-term — always explained clearly in English.
Routine exams, cavity treatment, periodontal therapy, root canal treatment, and preventive care — all delivered with the same careful explanation and refined environment.
If you came in for an emergency and would like to continue treatment at Eden, we are happy to prepare a full treatment plan and walk you through every option. There is never any pressure to proceed.
Before & After
Every smile is different. These are actual patients treated at Eden Dental Office — from full-arch restorations to porcelain veneers. Photos are shown with patient consent.
Before
After
All-on-4 dental implants in Nagoya — full-arch restoration
All-on-4 full-arch implant restoration performed at our dental clinic in Nagoya. The patient presented with severely damaged and discolored teeth across the upper arch. Using the All-on-4 technique with Straumann implants, we placed four dental implants and delivered a full set of provisional teeth on the same day — allowing the patient to eat and smile immediately. The final zirconia prosthesis was designed and milled in our in-house dental lab in Nagoya for a precise, natural fit. Treatment time from first visit to final prosthesis: approximately 4 months.
Before
After
All-on-4 dental implants — complete smile makeover in Nagoya
All-on-4 full-arch implant restoration for a patient with extensive decay and tooth wear that made eating and smiling difficult. At our Nagoya dental clinic, we removed the remaining compromised teeth and placed four implants per arch to support a fixed full-arch prosthesis. Immediate provisional teeth were fitted on the day of surgery so the patient could eat and speak comfortably from day one. The final implant-supported restoration was completed over two visits using zirconia fabricated in our in-house lab.
Before
After
Full-mouth rehabilitation with dental implants in Nagoya
Full-mouth rehabilitation with implant-supported prostheses at Eden Dental Office in Nagoya. This patient had undergone many dental treatments over the years, but none had lasted — teeth kept failing and eventually had to be extracted. After years of frustration, she had lost confidence in dental care altogether. Despite her concerns, she visited our clinic in Nagoya and placed her trust in us. Although some remaining teeth still appeared intact, most were already severely damaged. After careful discussion, she decided to have all remaining teeth removed and start fresh. We placed six implants in the upper jaw and four in the lower jaw, then fabricated fixed implant-supported prostheses for both arches in our in-house lab. The result restored not only a natural, beautiful smile but also the stability and comfort to eat with confidence again.
Before
After
Full-mouth cosmetic restoration with zirconia crowns in Nagoya
Full-mouth cosmetic restoration using zirconia crowns at our dental clinic in Nagoya. Years of wear and old restorations had left the teeth short, uneven, and discolored. We replaced all existing crowns and restorations with new zirconia crowns, carefully designed and fabricated in our in-house lab to restore proper bite height, natural tooth shape, and a uniform bright appearance. This type of cosmetic dentistry in Nagoya can transform a smile without orthodontics. The full treatment was completed in approximately 2 weeks over multiple visits.
Before
After
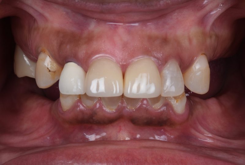
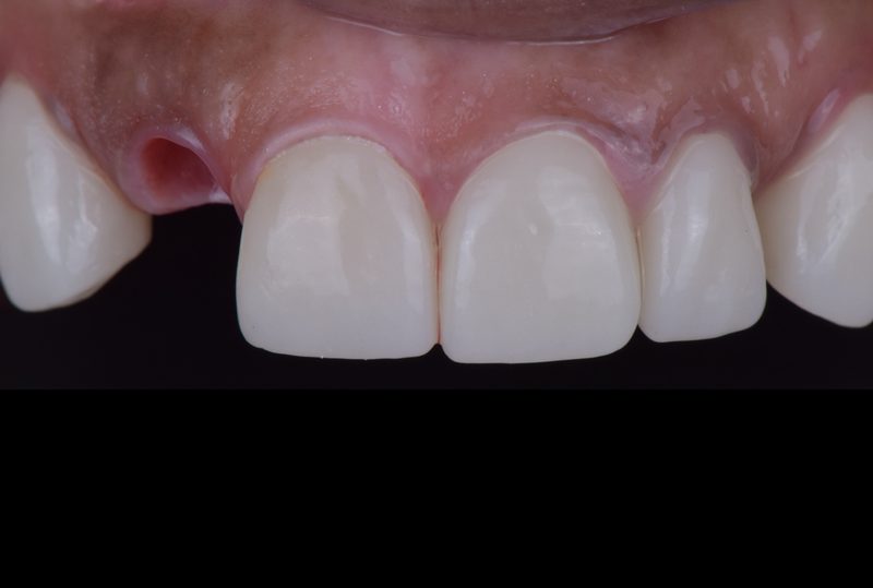
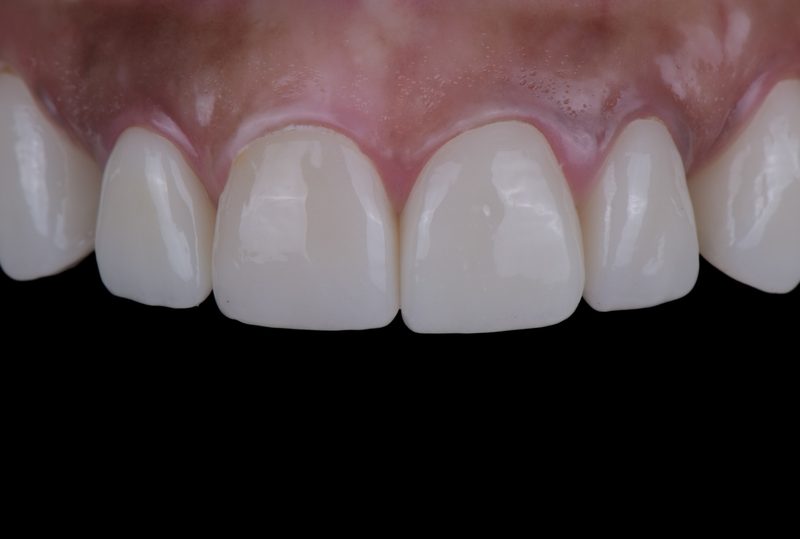
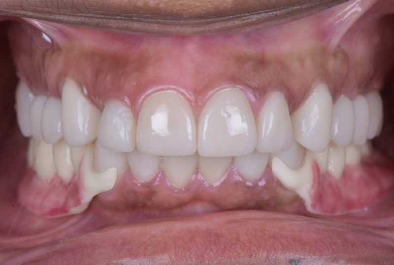
Porcelain crowns & dental implant in Nagoya
Porcelain crowns and a single dental implant placed at Eden Dental Office in Nagoya. The upper front teeth had mismatched old crowns with visible discoloration, and one tooth on the left side had decay at the margin. The patient wanted a uniform, natural-looking smile without removing healthy teeth. We replaced the existing crowns with new porcelain crowns (e.max and zirconia), carefully shade-matched and shaped in our in-house dental lab to blend with the surrounding natural teeth. A Straumann implant was placed where the original tooth could not be saved. The result is a cohesive, natural smile completed over several visits at our Nagoya clinic.
Before
After
Single tooth implant (immediate placement) in Nagoya
Immediate single tooth implant placement performed at our dental clinic in Nagoya. An existing crown on the upper left lateral incisor had come off, and examination revealed the root underneath was fractured beyond repair. After considering a bridge, partial denture, and implant, we chose immediate implant placement using a Straumann fixture — extracting the tooth and placing the implant in a single procedure. CT imaging confirmed sufficient bone and no infection, allowing us to shorten the overall treatment time and preserve the natural gum line. After healing and osseointegration were confirmed, the final porcelain crown was placed at our Nagoya clinic. The gum contour was maintained naturally, and both aesthetics and function were fully restored.
Every patient's situation is unique. Results depend on individual conditions, treatment plan, and follow-up care. We are happy to discuss what is possible in your case during a consultation.
Ready to start treatment?
Whether you are interested in cosmetic enhancement, restorative treatment, or a complete smile transformation, we are here to listen and explain every option.