In pain right now? 052-265-8996 WhatsApp

Specialist Care

Specialist dental treatments in Nagoya.

Our clinic provides comprehensive treatment grounded in our director's expertise in prosthodontics. From implants and crowns to cosmetic dentistry and full-mouth restoration, we offer expert care explained in English.

Gloved hand on a Morita dental unit control panel — modern equipment at Eden Dental Office Nagoya

Cleaning & Dental Check-ups

Regular professional cleaning and thorough exams are the foundation of lifelong oral health. We focus on catching small problems early and keeping your mouth healthy long-term — always explained clearly in English.

  • Professional cleaning
  • Comprehensive check-ups
  • Digital X-rays
  • Periodontal (gum) care
  • Preventive advice
General dental care and check-up at Eden Dental Office — English-speaking dentist in Nagoya

General Dental Care

Routine exams, cavity treatment, periodontal therapy, root canal treatment, and preventive care — all delivered with the same careful explanation and refined environment.

  • Check-ups & cleaning
  • Fillings & cavity treatment
  • Root canal therapy
  • Periodontal (gum) care
  • Wisdom tooth consultation
  • Preventive care
More about our general dentistry services

Fillings and cavity treatment in Nagoya. Whether you have a small cavity or a larger area of decay, we use tooth-colored composite resin fillings that blend naturally with your teeth. For more extensive damage, ceramic inlays or onlays fabricated in our in-house lab offer a durable, long-lasting restoration. All treatment is explained in English before we begin.

Root canal treatment (endodontics) in Nagoya. When decay or infection reaches the nerve of a tooth, root canal therapy can save the tooth and relieve pain. We use digital X-rays and magnification to clean and seal the root canals precisely, followed by a crown to protect and strengthen the treated tooth. Many patients are surprised at how comfortable modern root canal treatment is.

Periodontal (gum) treatment. Gum disease is one of the most common dental problems worldwide and a leading cause of tooth loss. We provide thorough scaling and cleaning, deep periodontal therapy when needed, and ongoing maintenance plans. Early treatment can prevent bone loss and help you keep your natural teeth for years to come.

Check-ups, cleaning, and preventive care. Regular dental check-ups help catch problems early — before they become painful or expensive. Our check-ups include a thorough oral examination, professional cleaning to remove plaque and tartar, and digital X-rays when indicated. We explain any findings clearly in English and discuss your options together.

Wisdom tooth consultation. If you are experiencing pain or swelling from a wisdom tooth, we can assess the situation with digital imaging and advise whether extraction is needed or if monitoring is the better option.

If you came in for an emergency and would like to continue treatment at Eden, we are happy to prepare a full treatment plan and walk you through every option. There is never any pressure to proceed.

Before & After

Real results from our clinic.

Every smile is different. These are actual patients treated at Eden Dental Office — from full-arch restorations to porcelain veneers. Photos are shown with patient consent.

Before All-on-4 dental implants in Nagoya — severely damaged upper teeth Before
After All-on-4 dental implants in Nagoya — fully restored natural-looking smile at Eden Dental Office After

All-on-4 dental implants in Nagoya — full-arch restoration

Case details

All-on-4 full-arch implant restoration performed at our dental clinic in Nagoya. The patient presented with severely damaged and discolored teeth across the upper arch. Using the All-on-4 technique with Straumann implants, we placed four dental implants and delivered a full set of provisional teeth on the same day — allowing the patient to eat and smile immediately. The final zirconia prosthesis was designed and milled in our in-house dental lab in Nagoya for a precise, natural fit. Treatment time from first visit to final prosthesis: approximately 4 months.

Before All-on-4 implants — worn and decayed teeth, dentist in Nagoya Before
After All-on-4 implants — complete smile makeover at Eden Dental Office Nagoya After

All-on-4 dental implants — complete smile makeover in Nagoya

Case details

All-on-4 full-arch implant restoration for a patient with extensive decay and tooth wear that made eating and smiling difficult. At our Nagoya dental clinic, we removed the remaining compromised teeth and placed four implants per arch to support a fixed full-arch prosthesis. Immediate provisional teeth were fitted on the day of surgery so the patient could eat and speak comfortably from day one. The final implant-supported restoration was completed over two visits using zirconia fabricated in our in-house lab.

Before full-mouth dental rehabilitation in Nagoya — multiple missing and failing teeth Before
After full-mouth rehabilitation in Nagoya — complete implant-supported smile at Eden Dental Office After

Full-mouth rehabilitation with dental implants in Nagoya

Case details

Full-mouth rehabilitation with implant-supported prostheses at Eden Dental Office in Nagoya. This patient had undergone many dental treatments over the years, but none had lasted — teeth kept failing and eventually had to be extracted. After years of frustration, she had lost confidence in dental care altogether. Despite her concerns, she visited our clinic in Nagoya and placed her trust in us. Although some remaining teeth still appeared intact, most were already severely damaged. After careful discussion, she decided to have all remaining teeth removed and start fresh. We placed six implants in the upper jaw and four in the lower jaw, then fabricated fixed implant-supported prostheses for both arches in our in-house lab. The result restored not only a natural, beautiful smile but also the stability and comfort to eat with confidence again.

Before cosmetic dental restoration in Nagoya — discolored and uneven front teeth Before
After cosmetic dental restoration in Nagoya — bright, even smile with zirconia crowns at Eden Dental Office After

Full-mouth cosmetic restoration with zirconia crowns in Nagoya

Case details

Full-mouth cosmetic restoration using zirconia crowns at our dental clinic in Nagoya. Years of wear and old restorations had left the teeth short, uneven, and discolored. We replaced all existing crowns and restorations with new zirconia crowns, carefully designed and fabricated in our in-house lab to restore proper bite height, natural tooth shape, and a uniform bright appearance. This type of cosmetic dentistry in Nagoya can transform a smile without orthodontics. The full treatment was completed in approximately 2 weeks over multiple visits.

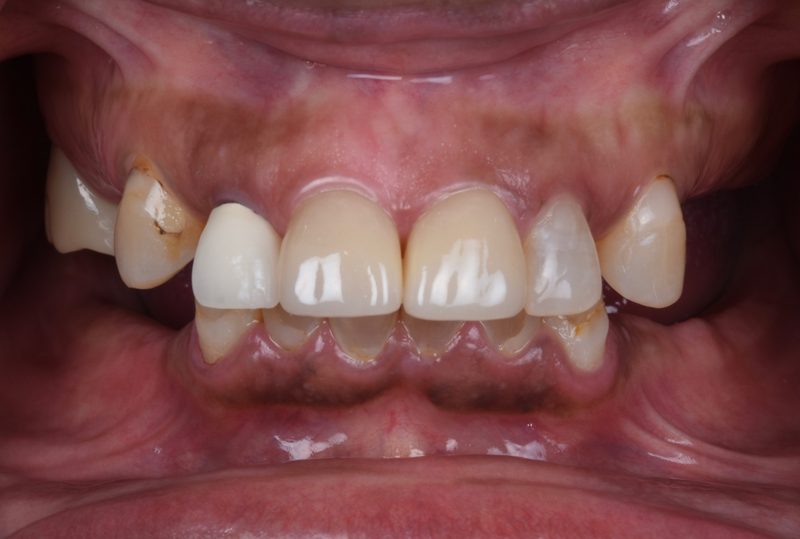
Before porcelain crowns and implant in Nagoya — mismatched old crowns with decay Before
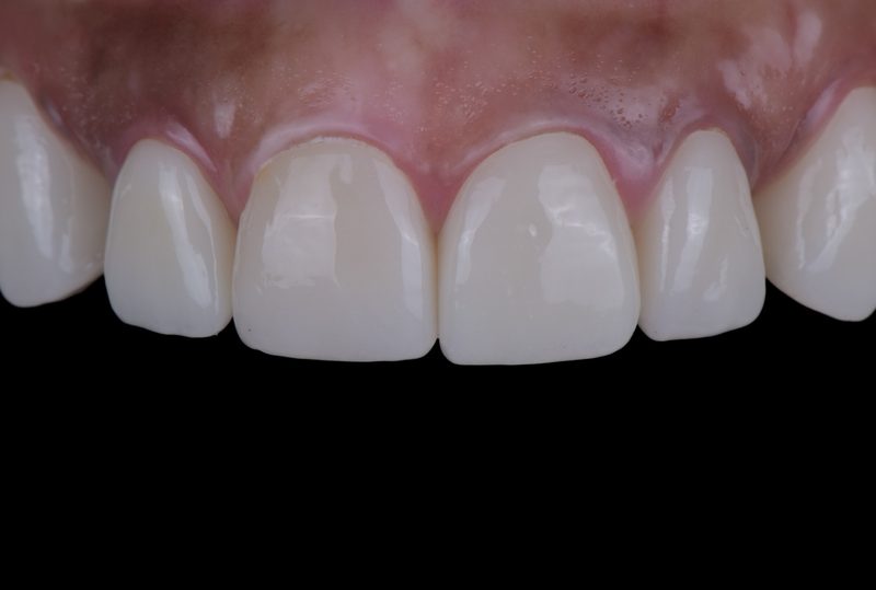
After porcelain crowns and implant in Nagoya — natural, uniform smile at Eden Dental Office After

Porcelain crowns & dental implant in Nagoya

Case details

Porcelain crowns and a single dental implant placed at Eden Dental Office in Nagoya. The upper front teeth had mismatched old crowns with visible discoloration, and one tooth on the left side had decay at the margin. The patient wanted a uniform, natural-looking smile without removing healthy teeth. We replaced the existing crowns with new porcelain crowns (e.max and zirconia), carefully shade-matched and shaped in our in-house dental lab to blend with the surrounding natural teeth. A Straumann implant was placed where the original tooth could not be saved. The result is a cohesive, natural smile completed over several visits at our Nagoya clinic.

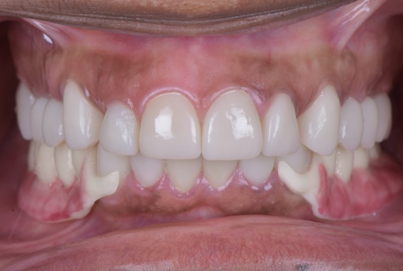
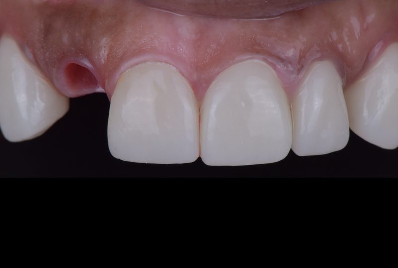
Before single tooth implant in Nagoya — fractured root requiring extraction Before
After single tooth implant in Nagoya — seamless Straumann implant restoration at Eden Dental Office After

Single tooth implant (immediate placement) in Nagoya

Case details

Immediate single tooth implant placement performed at our dental clinic in Nagoya. An existing crown on the upper left lateral incisor had come off, and examination revealed the root underneath was fractured beyond repair. After considering a bridge, partial denture, and implant, we chose immediate implant placement using a Straumann fixture — extracting the tooth and placing the implant in a single procedure. CT imaging confirmed sufficient bone and no infection, allowing us to shorten the overall treatment time and preserve the natural gum line. After healing and osseointegration were confirmed, the final porcelain crown was placed at our Nagoya clinic. The gum contour was maintained naturally, and both aesthetics and function were fully restored.

Every patient's situation is unique. Results depend on individual conditions, treatment plan, and follow-up care. We are happy to discuss what is possible in your case during a consultation.

Ready to start treatment?

Let's discuss your smile goals.

Whether you are interested in cosmetic enhancement, restorative treatment, or a complete smile transformation, we are here to listen and explain every option.